Contact our clinical team directly on 07852440607 info@provetsurg.co.uk

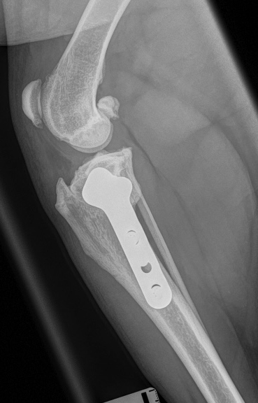
Clinical Audit

Clinical Audit

At ProVetSurg we pride ourselves on positive, successful patient outcomes. Clinical auditing plays an important role in the monitoring and measuring of effectiveness of our clinical work, enabling us to maintain and improve where necessary the quality of our services. Our clinical audit is being worked on continuously in an effort to bring our host practices reassuring, reliable information that they can share with their clients during their discussions regarding surgical intervention.

If you would like any information regarding our clinical audit, please do not hesitate to contact us at info@provetsurg.co.uk 

Testimonials

Lorem Ipsum is simply dummy text of the printing and typesetting industry.

Windlesham Village Vets

Windlesham Vet
Thank you and your team for all the help and support in the last year. Whether it’s the last-minute SOS calls, advice, or some more advice, and a big one with price adjustments for those pets that needed it. We are so appreciative to have you as an extended part of the Windlesham team which allows us to provide such a high standard of care and attention.

Francesca Verney

Pet People
Here at Pet People – we are an independent practice motivated by providing kind, exceptional and transparent care – we wanted to work with a peripatetic surgical team which aligned with these values. We have truly found this in ProVetSurg and our relationship with them has gone from strength to strength, It is not only their surgical competence that sets them apart, but their gentleness and compassion towards the teams they support and the pets they care for. We feel very lucky to work alongside them and would not hesitate to recommend them (and have done so many times!.

Sam Joseph

Creature Comforts Notting Hill
Provetsurg has been an incredible support to our team since we opened our doors in early 2024.

Their service has allowed us to offer referral-level surgical care to our patients from the comforting surroundings of their regular practice. This mean that we can keep cases within the clinic whilst still providing the level of expertise that our patients require.

Nicci and the team of surgeons also review radiographs and offer advice on cases without charge. They are always available to provide support and help find solutions that work for our clients, patients and our team.

It is very clear that Provetsurg care deeply about the work that they do, they are a pleasure to work with and are an invaluable resource for primary care practice.

Liz Panter RVN

Andy The Vet
We are a new independent practice in West Sussex. What can we say, the team are like an extension of our practice. Knowing we can offer a comprehensive service to our clients all under our roof is priceless. Our clients and patients are able to get the expertise of Provetsurg, whilst retaining the relationships we have built up with them.

Booking is easy, the days run smoothly, and they are always at the end of the phone if we need them. We very much look forward to a continued relationship going forward.

Rory

Pickles
We absolutely love working with ProVetSurg. The team are really friendly, easy to work with and professional. They allow us to offer our clients an increased level of service and our team love learning and working with them. I wouldn’t hesitate to recommend them to anyone looking for a peripatetic service.

Maidenhead

Vets4Pets
We have been working alongside Provetsurg now for several years and it feels like they are an extension of our team.

We love being able to offer so many extra services in-house, thus making it more affordable and a more personal experience for our clients.

All of the Provetsurg team are friendly, professional and welcoming and nothing is too much to ask of them. They will always bring all their own kits and equipment for cases, and even better they will clean and take it all away with them meaning no extra work for our team. It is also great peace of mind to know that they are at the end of the phone 24/7 for emergencies and urgent case advice.

Chris Gray at The Guildford Vet

The Guildford Vets
We have worked with Nicci and the team at ProVetSurg since we opened in 2022: their service to us and our mutual patients and clients is impeccable. The communication is superb, the diagnostics are accurate, and the surgical outcomes are repeatably excellent. We all think that they are fucking great